ახალი კვლევების თანახმად, ალცჰაიმერი გადამდები დაავადებაა
ალცჰაიმერი თავის ტვინის დაავადებაა, რომელიც ინტელექტის პროგრესირებადი დაქვეითებით ხასიათდება. დაავადება პირველად გერმანელმა ფსიქოლოგმა და ნევროლოგმა, ალოის ალცჰაიმერმა 1970 წელს აღწერა.
რამდენიმე დღის წინ, მეცნიერულ ჟურნალ Swiss Medical Weekly-ში შვეიცარიელი და ავსტრიელი მეცნიერების მიერ ჩატარებული კვლევების შედეგები გამოქვეყნდა, რომელთა თანახმად, ალცჰაიმერის დაავადება შესაძლოა, გადამდები იყოს.
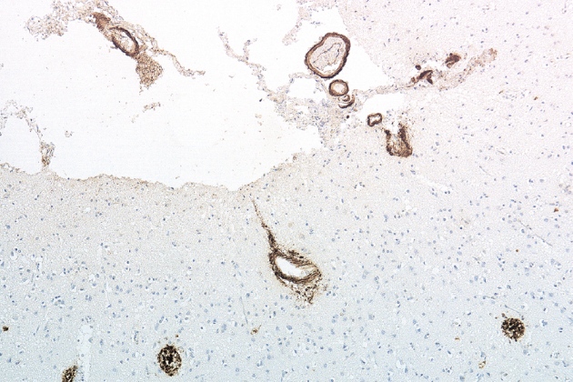
მეცნიერებმა ექსპერიმენტის დროს, ტვინის იშვიათი დაავადებით, კრეიტცფელდტ-იაკობით გარდაცვლილი 7 ადამიანის ტვინის ქსოვილები შეისწავლეს. ყველა მათგანს გარდაცვალებამდე 10 წლით ადრე, გადანერგილი ჰქონდა თავის და ხერხემლის ტვინის მყარი გარსის ქსოვილები. აღმოჩნდა, რომ შვიდიდან ხუთს ტვინის ქსოვილებში ე.წ. ბეტა-ამილოიდების ბალთები ჰქონდა, რომელიც, არსებული მოსაზრებით, ალცჰაიმერის დაავადების მაპროვოცირებელია. ამასთანავე, სიცოცხლის დროს არც ერთი მათგანი ამ სენით დაავადებული არ იყო.
მეცნიერებმა ივარაუდეს, რომ ბეტა-ამილოიდების ბალთები გარდაცვლილთა სხეულში სწორედ მყარი გარსის გადანერგვის დროს მოხვდა, რას ნიშნავს, რომ დაავადება გადამდებია.

მკვლევარებმა ეს ვარაუდი კიდევ ერთი ექსპერიმენტით დაასაბუთეს, რა დროსაც შეისწავლეს კრეიტცფელდტ-იაკობით გარდაცვლილი 21 ადამიანის ტვინის ქსოვილები, რომელთათვისაც სიცოცხლის დროს ტვინის მყარი გარსი არ გადაუნერგავთ. აღმოჩნდა, რომ მათ ქსოვილებში ბეტა-ამილოიდის ბალთები არ იყო.
2015 წლის სექტემბერში, მეცნიერულ გამოცემა Nature-ში კიდევ ერთი მსგავსი კვლევის შედეგები გამოქვეყნდა. ექსპერიმენტისას დადგინდა, რომ ალცჰაიმერის დააავადება შესაძლოა, ადამიანიდან ადამიანზე გადადიოდეს.
მეცნიერები ამბობენ, რომ ეს ჯერჯერობით მხოლოდ ჰიპოტეზაა, რომელსაც სისტემატური კვლევები ესაჭიროება, თუმცა, ექსპერიმენტების შედეგები მაინც შემაშფოთებელია.
მკვლევარები აღნიშნავენ, რომ ალცჰაიმერის დაავადება არ გადადის დაავადებულ ადამიანთან პირდაპირი კონტაქტის დროს. მაგრამ არსებობს თეორიული შესაძლებლობა, რომ ბეტა-ამილოიდის ბალთები არასტერილური ქირურგული ინსტრუმენტების საშუალებით მოხვდეს ჯანმრთელ ორგანიზმში და ალცჰაიმერის დაავადება გამოიწვიოს.